Тег: репродуктивная система
Deprecated: str_replace(): Passing null to parameter #3 ($subject) of type array|string is deprecated in /home/user/web/future2.ru/public_html/index.php on line 362
Сколько дней живут сперматозоиды в теле женщины
сперматозоиды
выживаемость спермы
женская репродуктивная система
зачатие
овуляция
биология размножения
26 мая 2025, 08:58
Сперматозоиды — удивительные клетки, способные сохранять жизнеспособность в самых разных условиях. Их выживаемость зависит от множества факторов: температуры, влажности, наличия питательных вещ...
Deprecated: str_replace(): Passing null to parameter #3 ($subject) of type array|string is deprecated in /home/user/web/future2.ru/public_html/index.php on line 362
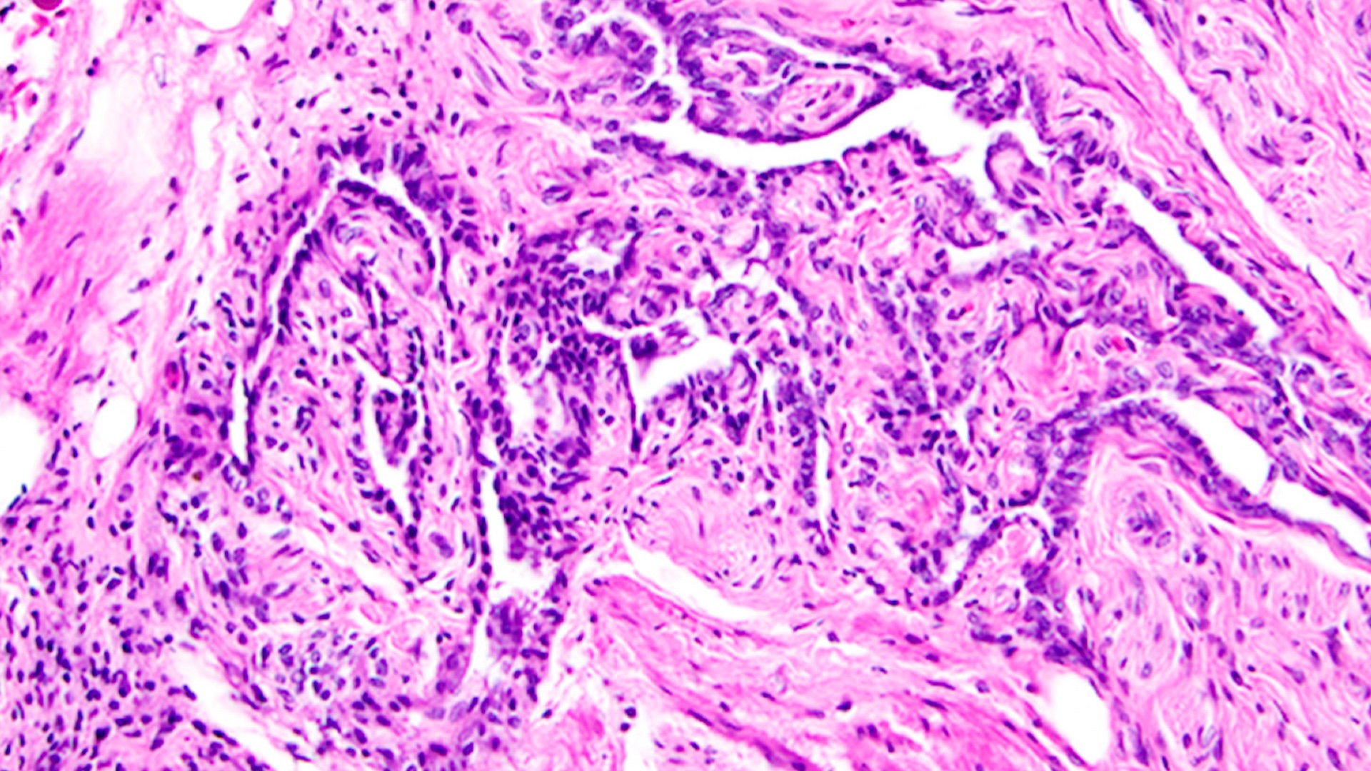
Забытый орган в женском теле оказался ключом к фертильности
rete ovarii
женская репродуктивная система
яичники
фертильность
гормоны
анатомия
гинекология
научные открытия
29 апреля 2025, 16:23
Структура, известная как rete ovarii (РО), более века считалась бесполезным рудиментом. Однако новое исследование на мышах показало, что этот орган может играть критическую роль в работе яичник...
Deprecated: str_replace(): Passing null to parameter #3 ($subject) of type array|string is deprecated in /home/user/web/future2.ru/public_html/index.php on line 362
Секрет трех вагин кенгуру как эволюционная адаптация
20 апреля 2025, 08:51
Кенгуру — удивительные существа не только внешне, но и анатомически. Они являются крупнейшими сумчатыми на планете, передвигаются прыжками и используют хвост как пятую конечность. Но самое необ...